JP Dental Hartford

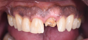
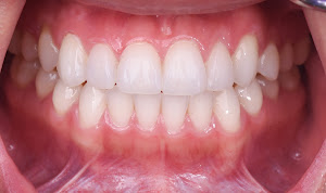
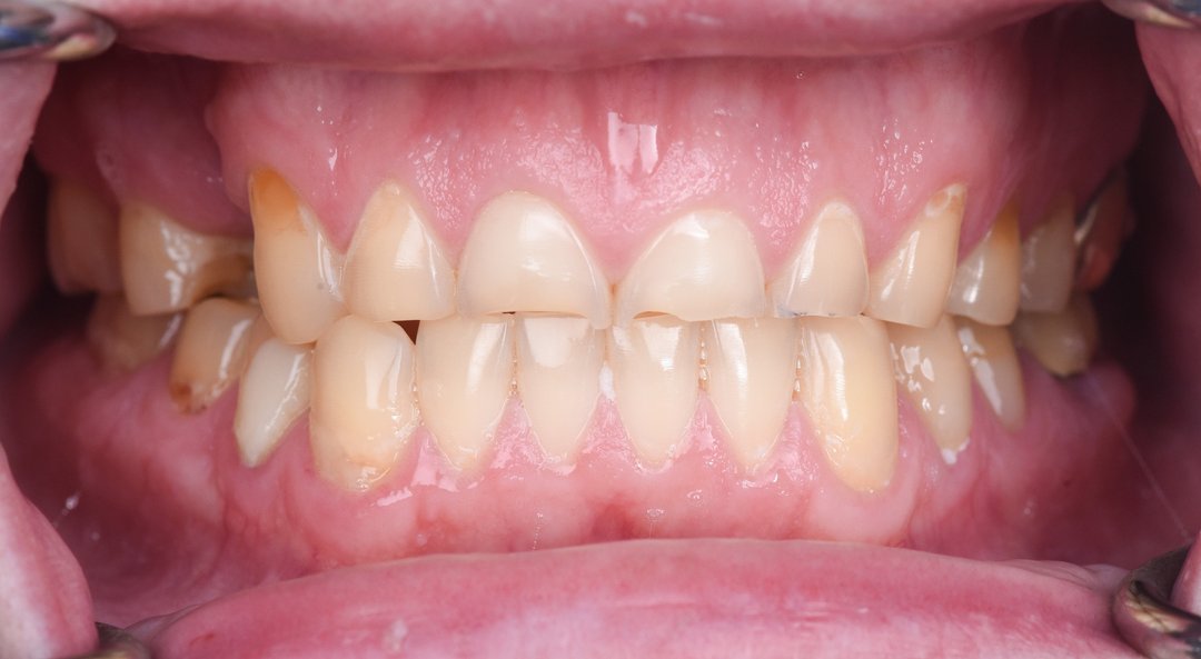
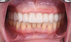
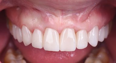
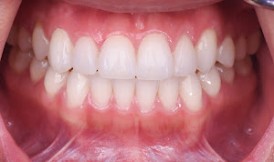
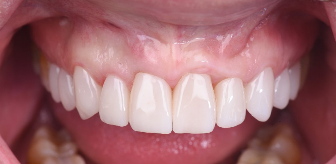
Welcome to JP Dental Hartford, where we are happy to serve our neighbors in Hartford, West Hartford, and the surrounding areas with FIVE STAR dental care. Whether you need a cleaning or have suffered in pain out of fear or embarrassment, we'll do our best to meet your needs and to gain your trust. Our Hartford dental office specializes in emergency dentistry including tooth pain relief, cracked tooth, extractions, and same-day dental care. We also offer same day composite bonding and implant placement to get you back to smiling with no fear.

Cover photo of JP Dental Hartford

Customer's reviews

JP Dental is the best dentist I've been to in my life. I recently had to get an implant done and from the beginning to date, Dr. Chung and Dr. Jill Park has been the most informative, patient, and smart doctors I've ever met. The amount of high-tech equipments and techniques they practice is unbelievable and most dentist in the east coast will not be able to even come close to what they do. My implant was "guided" and their x-rays are stat-of-the-art. Most importantly, the two doctors are just so courteous and knowledgeable. It's really the mindset of these two doctors that wants the best high tech equipment for their patients. They strive to implement and pursue new technology and techniques. As a new patient, these are the qualities that I look for and I highly recommend JP Dental to anyone that's looking for the best dentist in east coast! ~ Jae H
Absolutely amazing. I wish more people had the compassion, understanding, and humanity of these people. I had a badly fractured tooth and all other dental facilities either charged me an absurd price, had me waitlisted for weeks, or were unable to extract my tooth. So when I walked in to my appointment I excepted to be disappointed based on my previous experiences with dentists. I was wrong. Even though I came in 30 minutes before closing, after they saw the severity of my situation they extracted my tooth quickly and painlessly. Above all, as a struggling college student, the pricing was unbelievably low compared to the other facilities, I truly feel blessed. I am happy to report than I am no longer in pain thanks to these wonderful people. Most definitely recommend to anyone and will be sending people your way when it comes to dental issues. Thank you JP dental ~ Mohammed A
오늘 처음 방문했는데 제가 코네티컷 치과중에 선생님을 비롯해 모든분들이 제일 친절하고 편안했고 선생님의 치료도 만족했습니다 감사드립니다 뉴욕에사는 친구한태 정말좋은 치과만나서 맘이 놓인다고 자랑을 했습니다 지인들한태도 자신있게 추천하고싶은 정말좋은 치과 병원이었습니다 감사드리고 지금처럼 변치않으시길 소망하며 코네티컷 최고의 치과로 번창하시길 바랍니다 ~ Bong P

Blog

Dentist Near Me Searching for a trusted Dentist Near Me in Hartford, CT? JP Dental Hartford offers complete dental care designed to keep your smile… Posted on: November 20, 2025
Hartford Dentist Looking for a trusted Hartford Dentist who truly cares about your smile? JP Dental Hartford provides comprehensive dental care for… Posted on: November 17, 2025
Hartford Dental Implants For patients seeking lasting solutions for missing teeth, JP Dental Hartford provides top-quality Hartford Dental Implants… Posted on: November 14, 2025

Contact information

Address
19 Woodland Street STE 32 Hartford 06105
Sunday Closed
Monday 9:00 AM - 5:00 PM
Tuesday 9:00 AM - 5:00 PM
Wednesday 9:00 AM - 5:00 PM
Thursday 9:00 AM - 5:00 PM
Friday Closed
Saturday Closed

Find us on social media